Leukoplakia Selfcare
Leukoplakia Selfcare - People with leukoplakia may have an increased risk of oral cancer. Mild leukoplakia is usually harmless and often goes away on its own, but it may be a sign of a more serious condition. Doctors may prescribe medication to treat the condition. White patches in your mouth are a sign of leukoplakia. The pathogenesis of oral leukoplakia is largely unknown. Leukoplakia is a condition that causes painless white or gray patches to develop inside your mouth.
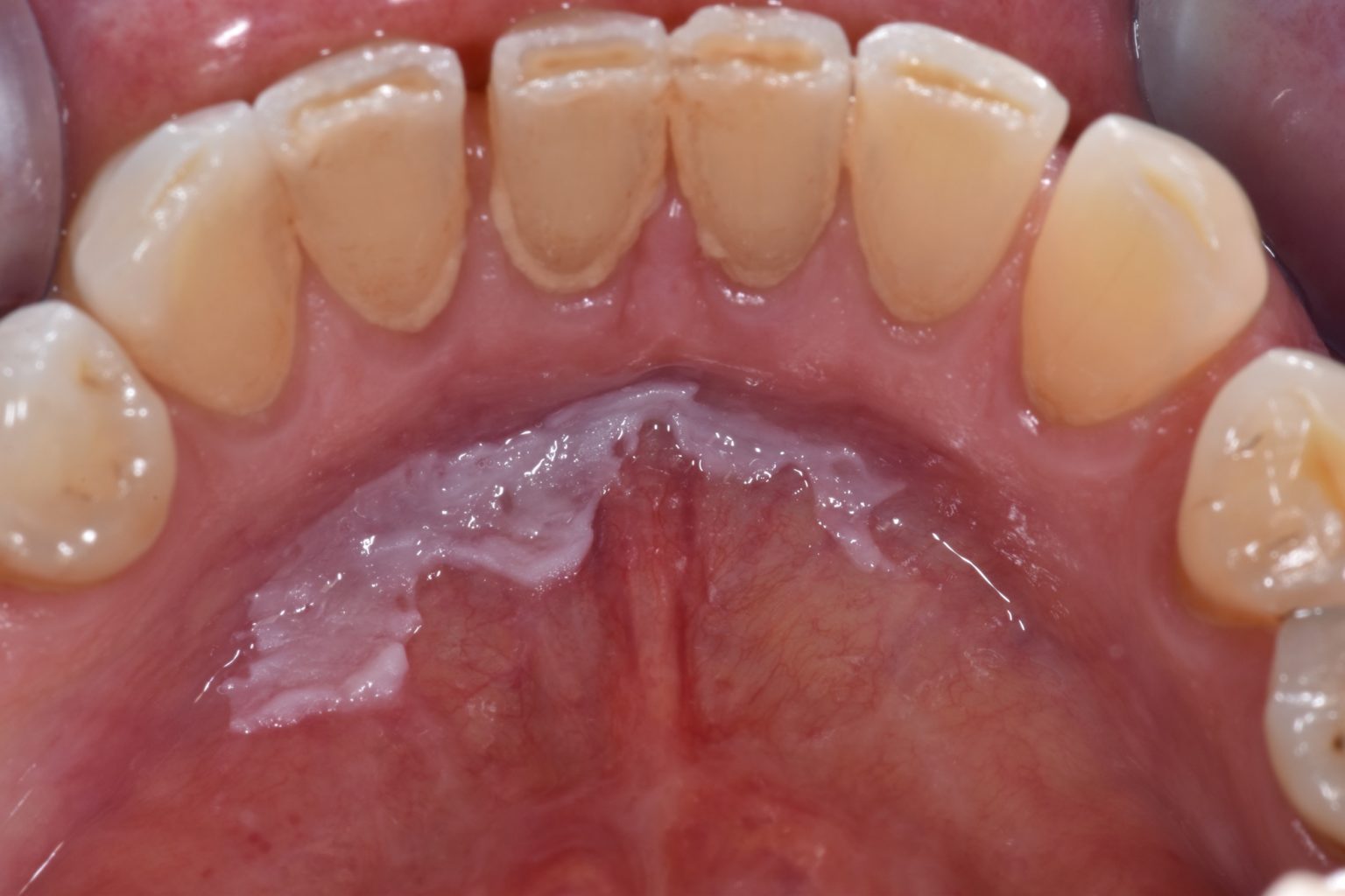
Leukoplakia causes white patches or plaques to develop on the tongue and mucosa in the mouth. Mild leukoplakia is usually harmless and often goes away on its own, but it may be a sign of a more serious condition. Oral leukoplakia is a white patch or plaque that develops in the oral cavity and is strongly associated with smoking. Leukoplakia is a condition that causes painless white or gray patches to develop inside your mouth. The pathogenesis of oral leukoplakia is largely unknown.
Leukoplakia is a condition that causes painless white or gray patches to develop inside your mouth. Leukoplakia causes white patches or plaques to develop on the tongue and mucosa in the mouth. Learn more about its symptoms, causes, and treatment options. Discover everything about leukoplakia, its symptoms, causes, and treatments. Doctors may prescribe medication to treat the condition.
Oral leukoplakia is a white patch or plaque that develops in the oral cavity and is strongly associated with smoking. Risk factors include all forms of tobacco use forms,. The patches also may form on the insides of the cheeks and the bottom of the mouth. It is considered an intermediate stage in oral carcinogenesis, driven by multiple somatic genetic.
The patches also may form on the insides of the cheeks and the bottom of the mouth. The pathogenesis of oral leukoplakia is largely unknown. What is leukoplakia, and is it always a symptom of oral cancer? Leukoplakia is a mouth condition involving thick white patches that is most often caused by tobacco use. Leukoplakia causes white patches or plaques.
What is leukoplakia, and is it always a symptom of oral cancer? Doctors may prescribe medication to treat the condition. The pathogenesis of oral leukoplakia is largely unknown. Leukoplakia causes white patches or plaques to develop on the tongue and mucosa in the mouth. Discover everything about leukoplakia, its symptoms, causes, and treatments.
Learn how to manage white patches in the mouth and reduce risks of oral cancer. Doctors may prescribe medication to treat the condition. What is leukoplakia, and is it always a symptom of oral cancer? Risk factors include all forms of tobacco use forms,. Learn more about its symptoms, causes, and treatment options.
Leukoplakia Selfcare - The pathogenesis of oral leukoplakia is largely unknown. Discover everything about leukoplakia, its symptoms, causes, and treatments. Leukoplakia causes white patches or plaques to develop on the tongue and mucosa in the mouth. The patches also may form on the insides of the cheeks and the bottom of the mouth. Learn how to manage white patches in the mouth and reduce risks of oral cancer. Leukoplakia is a mouth condition involving thick white patches that is most often caused by tobacco use.
The pathogenesis of oral leukoplakia is largely unknown. It is considered an intermediate stage in oral carcinogenesis, driven by multiple somatic genetic mutations. Oral oncologist mark chambers, d.m.d., weighs in on these and other questions. Leukoplakia is a mouth condition involving thick white patches that is most often caused by tobacco use. People with leukoplakia may have an increased risk of oral cancer.
Leukoplakia Is A Condition That Causes Painless White Or Gray Patches To Develop Inside Your Mouth.
Risk factors include all forms of tobacco use forms,. White patches in your mouth are a sign of leukoplakia. Leukoplakia causes white patches or plaques to develop on the tongue and mucosa in the mouth. Learn more about its symptoms, causes, and treatment options.
Leukoplakia Is A Mouth Condition Involving Thick White Patches That Is Most Often Caused By Tobacco Use.
The pathogenesis of oral leukoplakia is largely unknown. The patches also may form on the insides of the cheeks and the bottom of the mouth. Mild leukoplakia is usually harmless and often goes away on its own, but it may be a sign of a more serious condition. Learn how to manage white patches in the mouth and reduce risks of oral cancer.
Discover Everything About Leukoplakia, Its Symptoms, Causes, And Treatments.
It is considered an intermediate stage in oral carcinogenesis, driven by multiple somatic genetic mutations. Oral oncologist mark chambers, d.m.d., weighs in on these and other questions. Doctors may prescribe medication to treat the condition. What is leukoplakia, and is it always a symptom of oral cancer?
People With Leukoplakia May Have An Increased Risk Of Oral Cancer.
Oral leukoplakia is a white patch or plaque that develops in the oral cavity and is strongly associated with smoking.